80 سال کی عمر میں بھی 18 سالہ جوانی کیلئےزیتوں کا تیل رات دو جگہ استعمال کریں
رات کو سونے سے پہلے دودھ پینا بہت مفید ہے، اس سے نیند بھی پرسکون آتی ہے۔ اگر دودھ میں
Read Moreرات کو سونے سے پہلے دودھ پینا بہت مفید ہے، اس سے نیند بھی پرسکون آتی ہے۔ اگر دودھ میں
Read MoreAre you afraid your sciatica might come back? Worry not, as this post will outline five actionable ways to stop
Read MoreWaking up to a lovely day is one of the perfect ways to kick-start the day, but not when experiencing
Read MoreAre you looking to attain and maintain youthful, radiant skin? Aging is a natural process, but the right skincare products
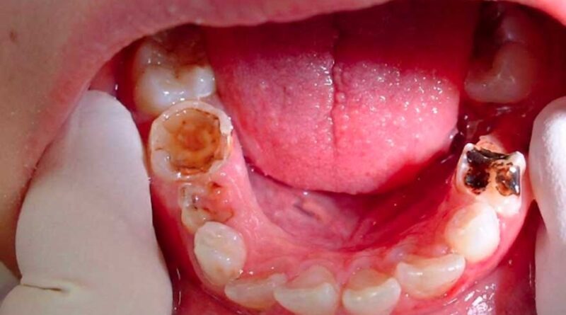
Read MoreTooth decay, medically known as dental caries, is a global oral health concern. This condition arises when the outer layer
Read MoreIVF for Childless Parents: A Beacon of Hope Many couples dream of starting a family. However, the heartbreaking struggle of
Read MoreMaintaining soft and flawless skin can seem like a relentless pursuit, particularly for makeup enthusiasts. But, a well-thought-out makeup removal
Read MoreIntroduction Are your mornings often marked with the unsettling sight of puffy eyes or haunting dark circles? While they’re not
Read MoreFasting has been a cornerstone of health and wellness for centuries, with many cultures and traditions incorporating some form of
Read MoreAre you tired of spending lots of money on the latest trending diet and exercise routines only to find minimal
Read More